大姚县紧密型医共体中彝医分院成功完成98岁高龄患者“股骨骨折闭合复位髓内钉内固定术”
|
根据国外研究统计,老年人发生髋部骨折后,一年生存率只有约50%。因此,高龄老人发生此类骨折后,往往会被人们称为“人生最后一次骨折”。
近日,大姚县中彝医医院骨伤科成功为一名百岁老人实施右股骨粗隆间骨折闭合复位PFNA内固定术,目前恢复良好。这对于伤后徘徊在生死边缘的百岁老人而言,如获新生。
“手术前,她每天都痛得不行,吃不好、睡不着,躺在床上叫个不停,还以为她挺不过去了,但术后的她,精神一天比一天好!真是太感谢你们了!”蔡奶奶的儿子对骨伤科病区医护人员连连感激道。
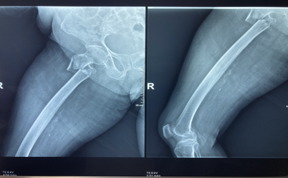
蔡奶奶今年98岁高寿,因“跌伤致右髋部疼痛伴活动受限5天。”到我院骨伤科治疗。入院后,被诊断为“右侧股骨粗隆间骨折”。
“虽然骨折手术并不复杂,但是蔡奶奶属于超高龄患者,各器官功能退化,心、肺功能下降,尤其是对手术的承受力下降、麻醉耐受力的降低、术后感染、康复及一系列并发症,每一道都是难关。”副院长张有文详细介绍,如果保守治疗,蔡奶奶需长期卧床,也容易引发肺部感染、褥疮、深静脉血栓等一系列的并发症,严重可导致生命危险。
“我们对患者进行全面评估,考虑到蔡奶奶平时身子骨还比较硬朗,没有其他基础疾病,与患者家属充分沟通后,决定选择手术治疗。”
面对如此特殊的病人,我院组织骨科、内科、麻醉科等多科专家讨论,最终制定出可行的手术及麻醉方案,并为术后并发症及康复治疗制定了周密的计划。
|
术中,麻醉科医生严格控制麻醉药品的剂量和浓度,密切观察病情,监测各项生理指标,确保老人的生命体征平稳。副院长张有文为百岁老人实施了右股骨粗隆间骨折闭合复位髓内钉内固定术,历时40分钟,手术圆满完成。
|
术后,主管医生和护士每天到床前耐心给予功能康复指导,讲解相关注意事项,帮助蔡奶奶尽快恢复,由于蔡奶奶属于超高龄患者,各器官功能退化,心、肺功能下降的特殊性,他们把顾奶奶当成一个咿呀学语的孩童,闲暇时去“哄一哄”“摸一摸”她,鼓励她下床锻炼康复,使得受伤的肢体功能恢复得很快。目前,老人已康复出院。
|
“为高龄患者实施手术,对医生而言是一个巨大的考验,家属的信任以及患者得以康复,是对我们工作最好的肯定,也是一种鞭策与激励,能让百岁老人再次站起来、走起来,提高其生活质量,我们很有成就感。”副院长张有文说道。
| 上一条:大姚县紧密型医共体中彝医分院金碧镇分院开展全国爱眼日系列活动 |
| 下一条:大姚县紧密型医共体中彝医分院迎接楚雄州口腔质控中心实地督导检查 |
【关闭】









